Yuqori labda frenulum: o'tkazilishi va ko'rsatgichlari



Plastiğin yuqori qismidagi plastinka Og'iz bo'shlig'ida jarrohlik aralashuvi (yuqori labning frenulumida) muayyan belgilar bo'lgan bemorlarda ko'rsatiladi, ortodontist yoki nutq terapevtlari frenulumni tuzatishni tavsiya qilishi mumkin. Yalang'och bridle nima? Bu og'iz bo'shlig'ida mavjud bo'lgan va eritkaning jag' suyaklariga biriktirilishiga olib keladi.



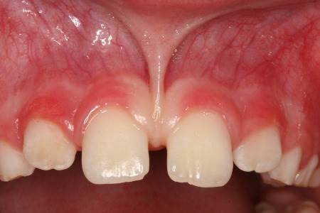
Oddiy sharoitda, kesish zarur emasligi sababli, tishlarning bo'yinlari bo'ylab 0,5-0,8 mm oraliqda bo'ladi . Qisqa ekspertlar oldingi tirnoqlarni chaqirishga yoki kamroq moslamaga ega bo'lishga da'vat qiladigan daraxtni chaqiradi. Yo'lning patologik biriktirilishi uning yuqori qismining o'rta qismida boshlanishi va 0,6 mm. Vaznda saqichga biriktirilishi bilan tavsiflanadi.

Vizual tekshiruv diastema mavjudligini aniqlaydi. Odatda joylashgan bridle nutq bozuklukları va sog'liqni saqlash muammolarining sababi emas va bu qatlamning patolojik aloqasi ba'zi muammolarga sabab bo'lishi mumkin. Muammolarni bartaraf etish uchun mutaxassislar yuqori lablardagi plastik burmalarni o'tkazadilar.

Bu qiziq

Yo'lning patologik tuzilishi 50 yildan oshiqroq vaqtni o'zlashtira boshladi. Bugungi texnika xavfsiz jarrohlik protsedurasini amalga oshirishga imkon beradi va lazerdan foydalanish shamshirning qoni va kam shikastlanishini kesish tartibini beradi.

Barcha ota-onalar noto'g'ri belgilangan shablonni vaqtincha tuzatish uchun operatsiya qilish qanchalik muhimligini tushunishmaydi. Darhaqiqat, bridle stomatologik tizimning ishiga jalb qilinganligi sababli, bridlning noto'g'ri tuzilishi estetik muammolarga olib kelishi mumkin, bolada nutq terapevtining muntazam kasaliga aylanishi mumkin.

Qisqa frenulum yuqori dudog'ining to'g'ri ishlashiga to'sqinlik qiladi, odam og'zini osonlik bilan nazorat qila olmaydi, articulatsiyali muammo paydo bo'ladi. Yo'lning qusur tuzilishi lablar harakatchanligini pasayishiga olib keladi.

Noto'g'ri formatlangan yoki biriktiriladigan ko'prik muammolarni keltirib chiqaradi:

  1. Yangi tug'ilgan chaqaloqning ko'kragiga to'g'ri ulanishi mumkin emas, emish sifati buziladi. Juda qisqa ta'mirlash emizishga to'sqinlik qilishi mumkin va neonatolog bu muammoni jarrohlik yo'li bilan hal qilishga haqlidir.
  2. Nutq muammolari. Labi tovushlarning sifati, unga ko'ra nutq terapevtlari qisqartirilgan shpaldan shubhalanib qolishlari mumkin. Plastik bu muammoni hal qiladi.
  3. Buzuq shtapelni parvarishlash va parvarish qilishning buzilishi sabab bo'lishi mumkin; Bu muammolar hazm qilish tizimiga sezilarli ta'sir ko'rsatadi.
  4. Yurakning patologik uzunligi va uning alveolyar jarayonga qo'shilishining o'ziga xos xususiyatlari interdental papilani saqlashga ta'sir qiladi. Insonlarda interdental oraliq hosil bo'ladi, tojlar orasidagi masofa uzoqlashadi.
  5. Qisqa frenulum gingival cho'ntagining rivojlanishini qo'zg'atadi va gumlarning yallig'lanish shartlari yanada rivojlanadi.
  6. Yuqori dudukli frenulumdagi nuqsonlar tishlarning sezuvchanligini va ularning beqarorligini oshirish uchun javobgardir.
  7. Bemorning tishlariga keng yoyilgan holda doimo oziq-ovqat bo'lib qoladi; Tish doktori, albatta, ko'p miqdorda plakka ega bo'ladi.
  8. Ko'prikni ta'mirlash periodontal kasalliklarning rivojlanishiga to'sqinlik qiladi.

Yuqori labning plastik qismini nima uchun ko'rsatish mumkin?

Jarrohlik qilishning asosiy belgisi emas, qisqa burilish mavjudligi. Yuqori dudama frenulum jarrohligi bemorga muayyan holatlarda beriladi:

  1. Tish doktori kesma o'rtasida diastema mavjudligini bildiradi. Qo'lbola tishlarning markazga yaqinlashishiga to'sqinlik qiluvchi to'siqdir. Doimiy yuk muammosi kuchaytiradi va bo'shliq yanada sezilarli bo'ladi. Interfettal papilla ta'siri shikastlangan holat bo'lib, davriy ta'mirlash jarayoniga yordam beradi.
  2. Bridle trimming ortodontik terapiyani taxmin qiladigan manipulatsiya bo'lishi mumkin. Bridle, tishlarga bosim o'tkazish qobiliyatidan kelib chiqib, ısırığın rivojlanishiga ta'sir qiluvchi omil. Agar ısırığını o'zgartirish uchun manipulasyonlar tayinlangan bo'lsa, lablar frenulumunun o'rnini baholash kerak. Patologik birikma yuzaga kelganda jarrohlik aralashuvi ko'rsatiladi.
  3. Ortodont bilan bog'liq muammolar - tibbiy manipulyatsiya uchun ko'rsatmalar; qisqa burilish, tishlarni ko'tarish va tishlarni ochish imkonini beradi.
  4. Qisqa cho'zilishi bo'lgan odamlar protezlarni tushirish hodisasini boshdan kechirishi mumkin, shuning uchun protezni o'rnatishdan oldin mutaxassis shifo beradi.
  5. Ba'zan plastmassa bridllarning ko'rsatkichlari logopedik qiyinchiliklarga aylanadi. Ko'pchilik dudoqlarning harakatlariga to'sqinlik qiladi, natijada ko'p tovushlar to'g'ri talaffuz etilmaydi.

Dudov oralig'ini kesish uchun eng yaxshisi qachondir?

Bridle eksizatsiyasi lazeri Chaqaloqlik davrida yuqoridagi lab bo'yog'ining plastmassasi faqat mutlaq ko'rsatmalarga asosan amalga oshiriladi: agar qatlam tuzilishi bolaning ovqatlanishiga to'sqinlik qilsa. 5 yoshdan oshgan bolalarga plastik jarrohlik amal qiladi. Xavotir olmang: oddiy operatsiya, asoratlar juda kamdan-kam hollarda.

Nima uchun belgilangan yoshdagi operatsiya uchun qulay vaqt bo'ladi? Ayni paytda, luqma o'zgarishi, doimiy tish og'izda paydo bo'ladi. Vaqt o'tishi bilan plastmassa oldingi tirgaklarni markazga yaqinlashtirish jarayonini tezlashtiradi.

Ba'zida operatsiya bir necha yillarga beriladi: etti yoshli bolalarning 4 ta old tishlari bor. Agar kerak bo'lsa, o'smirlarda tishlarni tuzatish mumkin.

Operatsiyaning mashhurligi va soddaligiga qaramasdan, frenulumni chiqarib tashlash quyidagi hollarda kontrendikedir:


  • Radioterapiya boshi.
  • Progressive karies.
  • Og'iz bo'shlig'i shilliq qavati bilan bog'liq muammolar.

Operatsiyaning umumiy cheklovlari quyidagilardir:

  • Keloid shkalalarining ko'rinishiga oldindan qarash.
  • Surunkali kasalliklar.
  • Onkologiya.
  • Qonning kasalliklari.
  • Alkogolizm.
  • Miya zarar.

Yuqori lab dumaloq plastiklari: lazer va boshqa eksizatsiya metodlari

Yuqori labda lazer yoki boshqa vositalar bilan ishlaydigan plastik jarrohlikda og'iz bo'shlig'ini sanatsiya ko'rsatiladi. E'tiborli mutaxassislar annallarni topshirishga maslahat beradi. Bolani och qoldirmaslik kerak: qon miqdori o'zgaradi va plastiklarda bu holat kamroq bo'ladi.

Amaliyot qisqa muddatli: 15 daqiqada ona ko'kraging va yosh bemorni xotirjam qiladi. Jarrohlik davolanish usulini aniqlashning o'ziga xos xususiyatlari mavjud. An'anaviy tuzatish, so'qmoqlardan foydalanishni o'z ichiga oladi. O'z-o'zidan so'rilishi mumkin choklar qo'llaniladi. Qutqarish bir hafta davom etadi - bu vaqt davomida chandiq shifo beradi.

Darvoqe (frenotomiya) dissektsiyasi

Ushbu aralashuv chaqaloq tor daraxtzorga ega bo'lsa ishlatiladi. Biror yo'nalish bo'yicha kesib o'tiladi va uzunlamasına tikuvlar qo'llaniladi.

Yuqori labdaning frenulyatsiyasi (frenektomiya)

Suyak bo'shlig'idagi keng burunli biqinli shoxli papilla va to'qima chiqarilgan bemor.

Frenuloplastika

Yuqori labda frenulum o'ziga xos jarrohlik protseduradir. Jarroh protsedura vaqtida bridle biriktiriladigan joyni harakatga keltiradi.

Plastmassa bridle yuqori lab lazer

Yangi texnologiyalar qandsiz ikki daqiqali protsedura bilan daraxtlarni kesish imkonini beradi. Bemorga anestetik jel qo'llaniladi, keyin mutaxassis lazer nurini sozlaydi va bridle to'qimasini eritadi. Zamonaviy texnika jarohatning chekkalarini lehimlash va sterillashga imkon beradi.

Lazer plastmassalarning afzalliklari:

  1. Bu protseduralar shovqinsiz (bolalar shovqinli vositalardan qo'rqadigan ota-onalarni rozi qiladi).
  2. Tikishning hojati yo'q.
  3. Operatsiya davomiyligi kamayadi.
  4. Lazer ta'sir qilish kamroq og'riqli.
  5. Reabilitatsiya tezda tugaydi (bir necha kundan so'ng bola yarani unutadi).

Klinikalarda lazer plastik lablari 3000-5000 rublga teng. Bu xotirjamlik va og'riqning yo'qligi.

Yuqori labda lazer bilan qoplangan plastmassalar uchun reabilitatsiya davri qanday?

Anesteziya tugaganidan so'ng, yuqori dudama frenulumini chiqarib yuborgan bemorlar engil og'riqni his qilishi mumkin.

Asoratlarni oldini olish uchun siz ba'zi qoidalarga amal qilishingiz kerak:

  • Muntazam og'iz gigienasi kerak.
  • 2 kun sizlarga iliq yoki yumshoq taomlarni eyishingiz kerak.
  • Operatsiyadan keyingi asoratlarni bartaraf etish uchun frenulumni to'g'rilash bilan shug'ullanadigan mutaxassis bilan bog'laning.

Mushaklar uchun foydali mashqlar. "Proboscis", "Bud" va "Fence" ning ishlashi bilan bog'liq qiziqarli tadbirlar shamolni cho'zish va operatsiyadan keyingi natijalarni aniqlashga qaratilgan. Diksiyani takomillashtirish tibbiy aralashuvdan so'ng aniq ko'rinadi. Interdental masofa zudlik bilan qisqarmaydi.

Mustafo Kamolning yorilishi

Bolalar juda uyg'un, shuning uchun tushib qolgan hollarda yuqori dudog'ning yarmi jarohatlangan holatlar juda kam uchraydi. Bolani tish shifokoriga ko'rsatishi maqsadga muvofiq: u vaziyatni baholaydi va uni (agar vaziyat jiddiy bo'lsa) tikadi. Tibbiy aralashuvsiz jarohatning chekkalari asimmetrik tarzda o'sishi mumkin va qo'pol chandiq og'iz bo'shlig'iga shikast etkazadi va labda harakatlarni cheklaydi.

Yuqori og'iz bo'shlig'ini tashlash tartibi mutaxassis tomonidan belgilanadi va aniq ko'rsatmalarga ega bo'lishi kerak. Bu tez tiklanish davri bilan qisqa muddatli operatsiya. Frenulumning skalpel bilan an'anaviy eksklyuzion usullari lazerdan foydalanishni o'z ichiga olgan innovatsion texnikadan kam. Kelgusida ekspeditsiya qilishning zamonaviy texnologiyalari 10 daqiqada estetik va og'zaki muammolarni echishga imkon beradi.


Sharhlar
Birinchi bo'lib izohlang
Fikr qo'shing
Fikr qo'shildi
Fikr qo'shib bo'lmadi
RE: [ Bekor qilish ]