Bolalarda yuqori dudoqli plastinka iplari: operatsiyalar turlari va ularni amalga oshirish sabablari



Bolalarda yuqori dudoqli plastinkalar Bridle jarrohligi - bu jarrohlik operatsiyasi bo'lib, uning bo'yida yo'g'onlik kesiladi. Bolalarda yuqori dudoqli plastinkalar ortodontist yoki nutq terapevtining maqsadiga muvofiq amalga oshiriladi va bu operatsiyani ko'rsatuvchi indikatorni aniqlaydi.



Ko'prik labi - og'iz bo'shlig'i mukozasining bir qismi, bu yuqori va pastki lablarni jagga biriktirish uchun javobgardir.

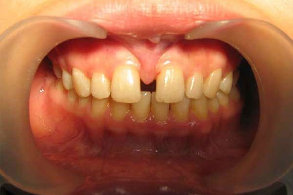
Bir daraxt, odatdagidek, oldingi kesakorlarning bazasidan 0,5-1 sm oraliqda saqlanadi. Uning pastki pozitsiyasi bridle old kesmalar orqasida o'tishi mumkinligiga va uning yopishtiruvchi joyi saqich bilan ko'rinmasligiga olib keladi. Boshqacha qilib aytganda, ipak yuqori labning o'rtasidan boshlanadi va sakkizdan 0,4-0,6 sm balandlikda biriktiriladi, oldingi tirnoqlar orasidagi bo'shliqda joylashadi.

Vizual tekshirilganda qisqa burilishni ko'rish juda oson. Buning uchun yuqori yoki pastki labda chetga olinadi va tekshiriladi. Oddiy tartibga solish bilan, u ısırmaya ta'sir qilmaydi va gapirishga xalaqit bermaydi. Uning past o'rinlari nafaqat so'zlarni emas, balki estetika bilan ham bog'liq bo'lgan ko'plab qonunbuzarliklarga olib kelishi mumkin. Bolaning og'zidagi nuqsonlarni va bolaning nutqini oldini olish uchun brakning plastik qismida operatsiya amalga oshiriladi.

Ko'pgina ota-ona ota-onaning qanday ishlayotganini bilmaydi, shuning uchun ular o'z vaqtida nutqning buzilishiga olib keladigan kamchiliklariga e'tibor bermaydilar. Biroq, bu sog'liqni saqlash muammosi, shuningdek, o'z vaqtida hal qilinishi kerak.

Ko'prik so'zlarni to'g'ri talaffuz qilishga, og'zingni yaxshi ochishga, og'zingni ochishga va ochishga imkon beradi. Noto'g'ri biriktirilganda, insonning labda harakatlanishi yomonlashadi va estetik nuqsonlar rivojlanadi.

Qisqa cho'tkasi quyidagi ta'sirga olib kelishi mumkin:


  • Yangi tug'ilgan chaqaloqlar emlash funktsiyasi yomonlashdi. Kichkintoylarda bo'lgani uchun, yuqori lab va til ko'krak va emizikli emizishni faol ravishda jalb qiladi, uning harakatchanligini buzgan holda emizish mumkin emas.
  • Ovoz va so'zlarning noto'g'ri nutq va talaffuzi. Bolada qisqartirilgan chaynov bo'lganda, labda tovushlar va unli tovushlarni gapirish qiyin. Shuni ta'kidlash kerakki, plastmassadan keyin bu nuqson avtomatik ravishda tuzatiladi.
  • Ergenlerde ısırık va chaynash funktsiyalari buziladi, bu esa o'z navbatida oshqozon muammolariga olib keladi.
  • Saqich buralib qolishi mumkin, bu esa gum cho'ntagining rivojlanishiga, tatarning ko'rinishiga va tish go'shtida yallig'lanishning rivojlanishiga olib kelishi mumkin.
  • Ildiz tizimining ta'siri tufayli tishlarning zaif va noto'g'ri biriktirilishi va ularning sezgirligi.
  • Oziq-ovqat mahsulotlarining to'planishi va blyashka hosil bo'lishi.

Boladagi qisqa burilish Yuqori lab bo'yog'ini tuzatish operatsiyasi uning noto'g'ri joylashuvi bilan amalga oshirilishi kerak. Bu, nutqning rivojlanishi va molar tishlarning to'g'ri rivojlanishi bilan bog'liq muammolardan qochish imkonini beradi.

Agar plastik dudlarni o'z vaqtida qilmasangiz, muammo shamol tishlarning to'g'ri shakllanishiga yo'l qo'ymaydi, bu esa old pardalar o'rtasida katta bo'shliqqa olib keladi. Bolani emizish mumkin emas, chunki emizishning noaniq funksiyasi tufayli ko'krak og'zidan chiqadi. Bundan tashqari, bu qat qattiq oziq-ovqatning oddiy chaynashiga to'sqinlik qiladi. Kichkintoy ovqat hazm qilish tizimiga salbiy ta'sir ko'rsatadigan katta miqdorda oziq-ovqatlarni yutib yuboradi.

Agar plastmassa sut tishlari shakllantirilmasa, bolaning noto'g'ri ısırığı bo'ladi, old kesakilar oldinga cho'ziladi. Ushbu nuqsonni tuzatish uchun uzoq va qimmatli davolash talab etiladi.

Kuchli dudama zo'riqishi har doim nutq qusurlariga olib keladi. Bola ba'zi tovushlarni to'g'ri talaffuz qila olmaydi va ularni faqat o'z yo'lida buzadi. Keyinchalik qayta tarbiyalash deyarli imkonsiz bo'ladi. Frenulumning anomaliyasi og'iz bo'shlig'idagi yallig'lanish jarayonlariga olib keladi. Tish va og'izning barcha kasalliklari bolaning doimiy do'stlari bo'ladi.

  • Bolalarga 2 va 6 oylik yoshdagi operatsiya qilish tavsiya etiladi, shu sababli emizishni davom ettirishi mumkin.
  • Ilgari, bu yoshda bolalar chaqaloqni tuzatish qilmaganlar, ammo zamonaviy tibbiy uskunalar va jarrohlik aralashuvining yangi usullari endi sizni bunday kichik yoshda xavfsiz va samarali bajarishga imkon beradi.
  • Bunday operatsiya faqat pediatriya stomatologlari mutaxassislari tomonidan amalga oshiriladi.
  • Ko'p dentist jarrohlik amaliyoti poliklinikada bolani ushlab turishning hech qanday ahamiyatga ega emasligiga ishonadi, chunki jarrohlik xavfi doimo mavjud.

Qisqa frenulum - nutqning buzilishi sababi Bundan tashqari, qulay yoshi 6-9 yoshda, oldingi va pastki qismda esa 4 ta old qismlar mavjud. Ayni paytda bolaning ısırığı shakllanadi, chunki molar sut tishlarini almashtiradi. Operatsiyani o'tkazish vaqtini belgilash eng yaxshisi, markaziy tirnoqlar allaqachon kesilgan bo'lsa-da, ammo lateral yo'q.

Keyinchalik lateral tirnoqlar paydo bo'lganda, markaziylarni bir-biriga yaqinlashtiradi va ularning orasidagi bo'shliqlar yo'qoladi. Ayni paytda bridle yaxshi holatda bo'lganligi juda muhimdir.

Frenulumni tuzatish bo'yicha operatsiya quyidagi kasalliklarda bajarilmaydi:

  • Og'izning shilliq qavati bilan bog'liq muammolar.
  • Osteomiyelit, qorin va boshning radiatsiya.
  • Miya kasalliklari va dismorfofobiya.
  • Ruhiy muammolar.
  • Qonning kasalliklari va har xil infektsiyalar.
  • Surunkali va onkologik kasalliklar.

Bolalarda yuqori dudoqning plastisitivligi: operatsiyalar turlari va ularning mohiyati

Bolalarda yuqori dudoqning plastiği maxsus ta'limni talab qilmaydi. Operatsiyadan oldin og'iz bo'shlig'i barcha mumkin bo'lgan infektsiyani yo'qotish uchun qayta tashkil etiladi. Ba'zan umumiy testlardan o'tadi va x-nurlarini bajaradi.

Biroq, bu holda siz qilolmaysiz, chunki bridlning plastmassasi kam ta'sirli jarrohlik usuli hisoblanadi. Agar operatsiya chaqaloqqa qilinadigan bo'lsa, unda u juda och qolmasligi uchun uni oziqlantirish kerak.

Tez va samarali ishlashning asosiy shartlaridan biri kafedrada bolakayning chorak soatlik vaqtinchalik holati. Bir nechta plastik jarrohlik turlari mavjud. Bularning barchasi yuqoridagi lab bo'yog'ining strukturasi va biriktirilishiga bog'liqdir.

  • Frenotomiya - frenulumni kesish. Ushbu operatsiyani bajarish tor kichkina kino turi bilan amalga oshiriladi. Disektsiya transversal tarzda amalga oshiriladi va kesma ichiga tikiladi.
  • Frenektomiya - burunni olib tashlash. Katta bridle olib tashlash uchun harakat qiling. Ko'tarish davomida bir kesma qilinadi va ortiqcha to'qimalar chiqariladi.
  • Frenuloplastika - yuqori dudama frenulum birikmasini siqib chiqarish uchun operatsiya. Infiltratsiyali behushlik bajariladi, frenulum o'rtasida vertikal kesma hosil bo'ladi. Uning ikkala tomonida yana ikkita burchagi kesiladi. Ushbu to'qimalar harakatlantirilib, asosiy kesmaning gorizontal holatda joylashganligi bilan belgilanadi. Bu operatsiya bilan eng asosiy narsa to'shak tayyorlashdir. Shilliq qavat ichida matolarni bir-biri bilan tikish mumkin emas, chunki bu faqat zo'riqishni kamaytiradi, ammo bu muammoni to'liq echish mumkin emas. Qabul qiluvchi yotqizish uchun submukoz to'qimalar periosteumdan chiqarib yuboriladi va kesma bo'yicha to'xtatilgan choklarni qo'llashadi.

Barcha operatsiyalar faqat lokal behushlik ostida poliklinikada o'tkazilishi kerak.

Bolalarda yuqori dudog'in plastik jarrohlik Suv olish uchun so'rilishi kerak bo'lgan ipni ishlatish uchun kerak bo'lmaydigan ipni ishlatish uchun tinglang. Jarayon, taxminan, chorak soat davom etadi va og'riq va bezovtalikka olib kelmaydi.

Yaqinda shifokorlar yuqori dudukli frenulum laser plastik jarrohlik amaliyotini boshladilar, bu esa bir necha daqiqa davom etadi. Ushbu operatsiyani bajarish uchun bolaga maxsus jel yordamida lokal behushlik beriladi.

Anesteziya ishlaganda, yorug'likni nurni aniq joyga yo'naltiradigan yoritgichga lazer chiroqni ko'rsatmasi yo'naltiriladi. Bu chiroq yarani qirqishlarini bir vaqtning o'zida sterillashtiruvchi va yopuvchi holatda olib tashlaydi.

Ushbu usul ko'p afzalliklarga ega:

  • Qurilma xotirjam va jimgina ishlaydi, chunki bola o'zini xotirjam his qiladi.
  • Lazer qon oqishiga olib kelmaydi.
  • Yarani tikmang.
  • Infektsiya yuqtirish mumkin emas, chunki jarrohlik vositalari ishlatilmaydi va lazer zudlik bilan tikuvni yopadi.
  • Operatsiya bir necha daqiqa davom etadi.
  • Og'riqqa olib kelmaydi va iz qoldirmaydi.
  • Tez tiklash.

Tez-tez plastik o'txonalardan keyin tiklash tez va asoratsiz o'tadi. Anesteziya to'xtaganidan keyin, albatta, ozgina og'riq his etilishi mumkin. Ammo bu azoblar tez o'tib ketadi.

Jarrohlikdan keyin bridoning holati Qayta tiklanish imkon qadar yaxshi bo'lishi uchun sizga quyidagilar kerak:

  • Har kuni og'iz gigienasini kuzating.
  • Bir necha kun qattiq va issiq ovqat iste'mol qilmaydi.
  • Bir necha kundan so'ng, shifokorni ko'ring.
  • Bemorning kattalariga myogymnastikni qilish tavsiya etiladi.

Avvaliga lablaringiz va tilingiz qanday erkin harakatlanishiga nisbatan biroz g'alati bo'ladi. Vaqt o'tishi bilan bu his-tuyg'u o'tadi. Tuzatishdan keyin ovozli javoblar o'zgaradi. Lekin tuzilgan tishlarning orasidagi bo'shliq darhol o'chirilmaydi, bu vaqt talab etadi.

Reabilitatsiya 4-5 kun davom etadi . Shu vaqt davomida bola to'liq tiklanadi va og'izdagi yo'g'onlikning yangi joyiga ishlatiladi.

Bolalardagi pastki labning plastik burdasi: xususiyatlari va ko'rsatkichlari

Yo'lning noto'g'ri joylashtirilishining asosiy muammosi yallig'lanishdir. Gumning pastki qismidagi tishlarning ildizlarini ochib, ko'pgina bakteriyalarga ega bo'lishiga sabab bo'ladigan gumrohlikning kuchli gingival kuchlanishi. Yo'qotilgan zararni tezda ochib beradigan infektsiya ochiq ildizlarga tushadi. Bunga qo'shimcha ravishda, doimiy zo'riqish tufayli, yomon luqma rivojlanadi va pastki jag'lar kuchli tarzda chiqadi. Ushbu muammolarni bartaraf qilish uchun bolalardagi pastki labning plastik qismlari amalga oshiriladi.

Muhim ahamiyatga ega

Operatsiyaga bo'lgan ehtiyojni nutq terapevtlari yoki ortodontistlar aniqlab olishlari kerak. Bolaning sog'lig'i bor deb o'ylaydigan qo'shnilarga va ota-onalarga quloq solmaslik kerak. Faqatgina tajribali shifokor to'g'ri tashxis qo'yish va jarrohlik zarurmi yoki yo'qligini aniqlay oladi.

Pastki lab dumg'ozining tuzatish uchun tibbiy ko'rsatkichlar yuqoridagi ko'rsatmalarga juda o'xshash. Shu bilan birga, bu aralashuvning asosiy sababi tish kasalliklari va tishlardan xalos bo'lishdir. Pastki labning qisqa qisilishi retraksiyonga olib keladi va gingivitis, periodontit va perikoronitga olib kelishi mumkin. Bundan tashqari, bolaning barcha tishini yo'qotish xavfi mavjud.

Yuqori va pastki lablar ustunlari boshqa barcha inson organlari kabi normal bo'lishi kerak. Agar g'ayritabiiy holat yoki holat aniqlansa, operatsiya bajarilishi kerak. Bola bolalagandan keyin buni qilish yaxshiroqdir, bolada esa luqma hosil bo'lmadi. Vaqti-vaqti bilan davolanish vaqt bilan bog'liq ko'plab muammolarni bartaraf etishni unutmang.


Sharhlar
Birinchi bo'lib izohlang
Fikr qo'shing
Fikr qo'shildi
Fikr qo'shib bo'lmadi
RE: [ Bekor qilish ]