Pastki lab bo'yog'i: tushuntirishlar, o'qishlar, narxlar



Diastema - plastik pastki lab bo'yoqlari uchun ko'rsatkichlar Dudaklarning og'izlari og'izda joylashgan elastik qatlamlar bo'lib, lablarini va tishlarini bog'lash uchun ishlatiladi, shuningdek lablarni kerakli fiziologik holatga qo'yishda qo'llaniladi.

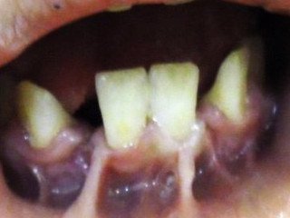
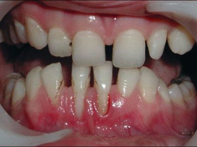
Odatda quyi labning tirqishi pastki tirqishlarning tishining markazida joylashgan va juda nozikdir. Agar pastki lab dumaloq shilimshiqroq, qalinroq va interdental makonda yoki juda keng bo'lib, elastikligi kam bo'lsa, shuningdek ularning bir nechtasi ham bo'lsa, bu jarrohlikning belgisi hisoblanadi.



Ko'p yillar davomida pastki lab bo'yog'i plastikasi 7 yoshli bolalarda doimiy tirnoq hosil bo'lish vaqtida amalga oshirildi, ammo zamonaviy texnologiyalar yordamida shifokorlar yuqorida keltirilgan muammolarga duch kelmasdan oldin bu operatsiyani ancha oldin bajarishni tavsiya etadilar.

Ushbu jarrohlik aralashuvning asosiy sababi qator dental kasalliklarning oldini olish hisoblanadi.

  • Agar bridle qisqartirilsa, u holda harakatlanish jarayonida tishlarning ildizlarini ochish bilan tahdid qiladigan va himoya qilinmagan ildizlarning yallig'lanishiga olib keladigan gumni uzatadi.
  • Periodontit, gingivit, perikoronit kabi og'riqli og'riqlar pastki qatorda tishlarni yo'qotishga olib kelishi mumkin.
  • Shuningdek, ortiqcha zo'riqish g'ayritabiiy ısırığın rivojlanishiga sabab bo'ladi.

Pastki lab bo'yi plastmassa uchun shifokorlar tomonidan tavsiya etilgan eng maqbul yoshi 2,5 dan 6 oygacha bo'lgan, chunki bu bolani boqish muammosini asosan hal qiladi. Operatsiyaning zamonaviy usullari tufayli chaqaloqlar uchun juda xavfsizdir.



Bu qiziq

Pastki lab drenajining plastik jarrohligi ortodonti, nutq terapevt yoki periodontologning ko'rsatmalariga asoslanib belgilanadi va klinik muhitda amalga oshiriladi.

Hozirgi vaqtda operatsiyani bajarish uchun ikkita usul mavjud: jarrohlik va lazer.

Umuman olganda, pastki labning plastik qismlari og'riqli bo'lmagan usul bo'lib, maxsus tayyorgarlikni talab qilmaydi.

Qo'llash mumkin bo'lmagan holatlar bemorning quyidagi kasalliklarga duchor bo'lgan holatlarida mavjud:

  • Qon pıhtılaşma muammolari;
  • yuqumli kasalliklarning o'tkir davri;
  • onkologik kasalliklar;
  • surunkali patologik jarayonlar;
  • og'iz bo'shlig'i shilliq qavatining o'tkir davri;

Operatsiya sifati asosan mutaxassisning malakasiga bog'liq. Bu jarayonning qiymatiga "e'tibor" berishi kerak. Mashhur poliklinikalarda pastki lab bo'yog'idagi plastmassaning o'rtacha narxi 1 dan 6 ming so'mgacha o'zgaradi, bu ish uslubiga va institut darajasiga bog'liq.

Muhim ahamiyatga ega

Agar klinika narx-navolari juda foydali narxga ega bo'lsa, unda plastik plastmassa yomon ishlashi yoki tajribasiz shifokor tomonidan amalga oshirilishi ehtimoli yuqori bo'lsa, bu mablag'lar odatda bunday plastik jarrohlikdan keyin nuqsonlarni bartaraf etish zarurligiga olib keladi.

Rossiya shaharlarida pastki labda plastmassalarning o'rtacha narxi:

  • Moskva - 3869 rubl
  • Peterburgda - 4400 rubl
  • Yaroslavl - 1169 rubl
  • Kirov - 1000 rubl
  • Saratov - 619 rubl
  • Nijniy Novgorod - 1527 rubl

Pastki lab drenajining plastmassasidan keyingi og'riq, tiklanish davrining asosiy komponenti sifatida

Qutqarish davri, qoida tariqasida yaxshi ketmoqda va hech qanday asorat kuzatilmaydi. Pastki labning plastik qismidan keyin engil og'riq faqat behushlik tugaganidan keyin bo'lishi mumkin.

Plastik plitalardan keyin reabilitatsiya davri juda qisqa: operatsiya usuliga qarab 2 dan 7 kungacha. Oksidlanish, odatda, kuzatilmaydi, ammo agar ular bo'lsa, maslahat uchun shifokor bilan maslahatlashing.

Muhim ahamiyatga ega

Agar chaqaloqqa operatsiya o'tkazilsa, u keyinchalik bolaning yangi shartlarga bir necha kungacha moslashishi uchun tayyorlanishi kerak, shuning uchun tuyadi biroz pasayishi mumkin. Bir necha kun ichida hamma narsa normal holatga qaytadi.

Ko'p ko'priklar Ko'proq "kattaroq" bemorlar uchun asosiy tavsiya og'iz gigienasi. Bundan tashqari, dastlabki ikki kun ichida issiq va qattiq ovqatlardan voz kechish tavsiya etiladi, kamroq gapirish, yuz uchun maxsus gimnastikani va engil massajni qilish tavsiya etiladi.

Diksiyani tuzatish uchun, nutq terapevtlari bilan mashg'ulotlarda ishtirok etish muhimdir. Jarrohlik keyingi kundan boshlab, jarrohlar tekshiruv o'tkazish va asoratlarni oldini olish maqsadida o'zini ko'rishlari tavsiya etiladi. Barcha tavsiyalarni amalga oshirish bilan birga, operatsiyadan keyingi davrda asoratlar kuzatilmaydi.

Pastki labning frenulumini, kattalardagi pastki labning plastik qismini chiqarish.

Pastki labning teshiklarining plastik jarrohligi an'anaviy jarrohlik usulida kattalarga nisbatan ozgina og'riqli bo'lib, tish tikish va uzunroq tiklanish davrini o'z ichiga oladi. Biroq, ba'zi murakkab holatlarda bu usulga ustunlik beriladi.

An'anaviy jarrohlik usulida bajariladigan protsedura quyidagilarni o'z ichiga oladi:

  • Frenotomiya - lablar chokini kesish.
  • Frenektomiya - pastki labning (shuningdek, yuqori lab) tuxumdonini chiqarib tashlash.
  • Frenuloplastika - biriktiruvchi nuqtasini harakatga keltiradi.

An'anaviy usulda operatsiya yarim soatdan ko'proq vaqtni talab qiladi, shundan keyin ajratilgan joyga o'z-o'zidan so'rilishi kerak bo'lgan tikuvlar qo'llaniladi.

Katta dudoqlardagi pastki labning pastki labini plastik jarrohlik usulidan foydalanganda, lokal behushlik oldindan jel bilan amalga oshiriladi, keyinchalik lazer nurlari bu yoqimli hidga qaratiladi, uning ta'sirida eritma eritiladi. Lazerda suturishni talab qilmaydi, chunki jarayonda jarohatlarni muhrlaydi va sterillaydi.

Ushbu jarayonning afzalliklari:

  • Qon etishmasligi;
  • ovozning etishmasligi;
  • jarrohlik asboblaridan infektsiya xavfi yo'q;
  • og'riq yo'q;
  • bir necha daqiqa oladi.

Ba'zan kattalardagi pastki lab bo'yog'ining anomaliyasi ham bor. Bu bolalik davridagi kattalar va tish shifokorlarining e'tiborsizligi natijasidir. Lekin bu haqda tashvishlanmang. Kattalar, shuningdek, bolalar ham plastik pastki lab bo'yog'iga ega. Ushbu operatsiya jarrohlik aralashuviga ehtiyojni aniqlash bo'yicha mutaxassis tomonidan tayinlanadi.


Sharhlar

Irina, 05/30/2017 5:34:23

Frenulumning eksizasi etti kun oldin bajarilgan, yuzning o'ng pastki qismining shishishi saqlanib qolishi va og'riq normalmi? Men doktorning tavsiya qilgan hamma ishlarini qilaman, men allaqachon Ketanning bir to'pini ichdim. Doktorga tikuvlarni faqat 3 kundan keyin olib tashlash uchun, yashayapmanmi?

Fikr qo'shing
Fikr qo'shildi
Fikr qo'shib bo'lmadi
RE: [ Bekor qilish ]