Yuqori ko'z qovoqlarining blefaroplastikasi: protseduraning ta'rifi va tuzatish ko'rsatkichlari



yuqori ko'z qovoqlari blefaroplastikasi Qopqoq ko'z qovoqlari, ajinlar, "og'ir ko'z" - bularning barchasi teridagi yoshga bog'liq o'zgarishlarning natijasidir. Bunday nuqsonlarni bartaraf etishga mo'ljallangan plastik jarrohlik bo'limi yuqori ko'z qovoqlarining blefaroplastikasi deb ataladi. Ushbu jarayon yoshlik va go'zallikning ko'zlarini qaytaradi.



Ko'zakor jarrohlik nafaqat keksaygan odamlarga qaratilgan deb aytish xatodir. Masalan, tashqi burchaklar juda kam bo'lsa, ko'zning qovoq strukturasi xususiyatlaridan psixologik noqulay his bo'lsa, bemorning iltimosiga ko'ra yuzning estetik hissiyotini yaxshilash mumkin. Tajribali shifokor ko'zning shakli o'zgaradi, natijada odamlar xohlagan natijaga erishadi.

Ko'krak jarrohligi kosmetik vositalar bilan bartaraf etilmaydigan tug'ma nuqsonlarni to'g'rilashga yordam beradi. Ular orasida teri, yog'li churra patologiyasi, epikantus, lakrimal kanal ustida osilgan qatlamda ifodalanadi va boshqalar. Bunday operatsiyalar har qanday yoshda amalga oshiriladi, biroq plastik jarrohga murojaat qilishning asosiy sababi terining qarishi hisoblanadi. 30 yildan keyin yuzaga kelgan dastlabki ajinlar invaziv bo'lmagan ko'z qopqog'i tuzatish bilan yaxshi bartaraf etiladi. 45 yildan keyin jarrohlik afzalroq bo'ladi.

Yuqori ko'z qovoqli blefaroplastika uchun ko'rsatmalar:

  • mushaklarning ohangini kamaytirish;
  • ortiqcha yog' to'qimasi;
  • churraning mavjudligi;
  • asr ptozisi;
  • kırışıklıklar va teri flabbiness;
  • ko'zning burchaklarini tushirgan;
  • Osiyo qisimi.

Jarayonning mohiyati ortiqcha terini, yog'ni va churrani olib tashlashdir. Operatsiya sindirish yoki lazer bilan kesma va to'qimalar eksizatsiyasi yordamida amalga oshiriladi. Ko'zni tuzatishning davomiyligi kamchiliklarning murakkabligiga qarab 40 minutdan 1,5 soatgacha davom etadi. Jarrohlikdan keyin ko'zni parvarish qilish uchun muayyan qoidalarga amal qilishingiz kerak. Plastik qopqoqlarning maksimal ta'siri to'qimaning to'liq sog'ayishi bilan 2-3 oyda kuzatilishi mumkin.

Yuqori ko'z qovoqlarining blefaroplastikasi jarrohlik operatsiya hisoblanadi va shuning uchun katta miqdorda kontrendikatsiyaga ega.

Shifokor salomatlik holatidagi quyidagi og'ishlarga qaramasdan, shifokor tuzatishga yo'l qo'ymaydi:


  • qandli diabet;
  • qon ketishining buzilishi;
  • yurak-tomir kasalliklari;
  • onkologiya;
  • Yordamchi uskunalar;
  • gepatit;
  • yuqumli kasalliklar;
  • ko'z kasalliklari: konyunktivit, quruq ko'z sindromi va boshqalar;
  • Aniqlanish davrida surunkali kasalliklar.

Homilador, emizikli ayollar va hayz paytida ham operatsiya qilish mumkin emas.

Yuqori ko'z qovoqli jarrohlik: operatsiya jarayoni va reabilitatsiya davri

plastik yuqori ko'zoynaklar Yuqori ko'z qovog'idagi jarrohlik kontrendikatsiyalardan keyin amalga oshiriladi. Shu maqsadda jarroh bemor bilan suhbat o'tkazadi, unda u sog'liq muammolarini aniqlaydi: surunkali kasalliklar, allergik reaktsiyalar va hokazo. Dastlabki maslahatlashuvdan so'ng, bemor umumiy amaliyot shifokori, ko'zoynak bilan tekshiriladi va u qon va siydikni sinash uchun o'tkazadi.

Keyingi uchrashuvda shifokor bemorga operatsiyani bajarish xususiyati haqida ma'lumot beradi va tiklash davrida ko'zni parvarish qilish qoidalarini tushuntiradi.

Yuqori ko'z qovoqlarining blefaroplastiyasi qanday?

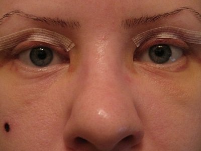
Operatsiya xonasida bemor gorizontal holatni qabul qiladi. Shifokorlar qovoqlarni dezinfeksiya moddalari bilan davolashadi va anestezikani qo'llashadi. Yuqori qopqoqni payvandlash uchun behushlik qusurning murakkabligiga va bemorning istagiga qarab tanlanadi. Agar ish yuki kam bo'lsa, lokal behushlik bajariladi. Harakatlanuvchi, qattiq ko'z qovog'ini tuzatuvchi, qoshni ko'tarish va shunga o'xshash holatlarda kompleks yoshartirish operatsiyasi behushlikdan foydalanishni talab qiladi.

Anesteziyadan so'ng, jarroh ilgari qilingan belgilarda ko'z qovoqlari bo'yicha aniq chiziqlar o'tkazadi. Belgilash ko'z qopqog'i yuzasiga mil va ellips shaklida qo'llaniladi. Eng katta qismi ko'zning o'rtasida joylashgan. Chiziqlar tashqi va tashqi burchaklarga bir tekis torayib, kesilgan ko'zlarning konturini takrorlaydi. Agar siz ko'zning shaklini o'zgartirishingiz kerak bo'lsa, jarrohlar tuzatish uchun belgini belgilaydilar.

Shifokor terini ajratadi va ortiqcha yog 'to'qimasini yoki yiringni olib tashlaydi. Ichki joylarni to'ldirish zarur bo'lganda, kerakli hududga yog'ni qayta tarqatadi. Bu tartiblar juda mas'uliyatlidir va mutaxassisning maksimal aniqligi bu erda muhimdir. Agar churra butunlay olib tashlanmasa, patologik to'qima yana bir bor o'sib boradi. Haddan tashqari yog 'olib tashlanganda, ko'zlar bo'sh ko'rinadi va kerakli estetik ta'sirga erishilmaydi.

Agar ko'z qovoqlari muammosi mushaklarning zaiflashuvi bilan bog'liq bo'lsa, shifokor bosh terisini kesib, yuzning yuqori qismini siqib chiqaradi. Keksa bemorlar uchun ko'zni yoshartirish ko'pincha qoshni ko'tarish va peshonani ko'tarish bilan birlashtiriladi.

Agar siz bir vaqtning o'zida yuqori va quyi qovoqlarni tuzatishni amalga oshirsangiz, jarroh qattiq ko'z qovog'idagi tegishli harakatlar bajaradi. Bunday blefaroplastika turi dumaloq deyiladi.

Har qanday manipulatsiyadan keyin jarroh chiziqlarni tiklaydi va ko'zlarga sovutish bandajini qo'llaydi. Lokal behushlik ishlatilsa, bemor bir necha soat ichida uyga qaytishi mumkin. Anesteziyadan foydalanganda klinikada qolish 10 soat va undan ko'p vaqtga uzaytiriladi.

yuqori ko'z qovoqlari jarrohligi Yuqori ko'z qovoqlarida operatsiyadan keyingi reabilitatsiya davri

Birinchi kunlarda bemor ko'z atrofida og'riq sezishi mumkin. Ko'zgularda 7-10 kun davomida shishish, qorin bo'shlig'i, gematoma bor. Odatda kam hollarda o'ralgan joylardan qon ketishi va yiringlash mumkin. Bu barcha belgilar o'z-o'zidan to'g'ri tashlab ketiladi.

Erta tug'ruq operatsiya paytida yoki operatsiyadan keyingi davrda ko'zning infektsiyasidan kelib chiqishi mumkin. Konyunktivit belgilari kuzatilsa, harorat ko'tariladi va ko'z qovoqlari juda ko'p zarar ko'radi, ammo darhol shifokor bilan maslahatlashib olishingiz kerak.

Yuqori qopqoqdagi plastik jarrohlikning keyingi asoratlaridan quyidagilarni ajratish mumkin:

  • kistlar to'rlarda hosil bo'ladi;
  • ko'z yoshlari o'tmaydi;
  • tikuvlar ajralib chiqadi;
  • Diklerin o'rnida yara paydo bo'ldi.
  • ko'zlar yorqin nurda yaralandi;
  • 14 kundan ortiq shishib ketmaydi;
  • ko'zlar assimetriklashadi;
  • ko'z qovog'i tushgan.

Kechikarli asoratlar operatsiya o'tkazgan shifokor tomonidan tekshirilishini talab qiladi. Jarroh sababini aniqlab, davolanishni buyuradi. Agar asorat konservativ usullar bilan davolanmasa, jarrohlik tuzatish amalga oshiriladi. Masalan, davolanish vaqtida tushib ketmaydigan tikuv ustidagi kistlar jarrohlik yo'li bilan olib tashlanadi.

Kambag'al estetik natija juda kam, ammo mumkin bo'lgan murakkablik. Agar jarroh noto'g'ri hisoblashni amalga oshirgan va juda ko'p to'qimalarni kesgan bo'lsa, ko'z qismi o'zgarishi yoki ko'z qovoqlari assimetrik bo'ladi. Bunday holda, ikkinchi operatsiyani bajarish belgilanadi va bu nuqsonni bartaraf etadi.

Blefaroplastikadan keyin ko'zni qanday tutish kerak?

Yuqori ko'z qovoqlariga jarrohlikdan keyingi asoratlardan saqlanish uchun, siz shifokorning barcha talablarini aniq bajarishingiz kerak. Jarayondan keyingi dastlabki kunlar tajribali tibbiyot xodimlariga asrlar davomida g'amxo'rlik qilishning mustaqil harakatlari amalga oshirilmaydi. Agar siz asrning davolanishida ishtirok etmoqchi bo'lsangiz, unda qo'llarni va parvarishlash mahsulotlarini yaxshilab dezinfeksiya qilishingiz kerak. Shunday qilib, yangi jarohatni infektsiyadan qochish mumkin.

Shishning tezroq yo'qolishi va dastlabki kunlarda ko'zingizga sovuq siqish qo'llanilganda operatsiya so'ng og'riq juda kuchli bo'lmaydi. Og'riqni yo'qotish vositasi og'riqni engillashtiradi.

Reabilitatsiya davrida siz faqat orqa tomondan uxlashingiz kerak. Bunday holda, bosh va elka ko'tarilishi kerak. Tananing bu pozitsiyasi yuqori yostiqqa yordam beradi.

yuqori qopqoqni ko'tarish Suturalarni olib tashlab bo'lgach, ishlaydigan joyni maxsus kremlar bilan muntazam ravishda yog'lash kerak. Agar ko'z tomchilari bo'shatilsa, ularni shifokorning topshirig'iga binoan tomchi.

Ko'zlarni bevosita quyosh nuriga qo'ymang. Shuning uchun, birinchi oyda quyoshdan saqlaydigan ko'zoynak taqinglar. Bunga qo'shimcha ravishda, ushbu ehtiyot chorasi ko'zdan qochadigan ko'zlardan himoya qiladi, chunki ko'z qopqoqlari taxminan 2 oydan so'ng butunlay shifo topadi.

Ko'zlaridagi shifo vaqtida televizorni tomosha qilish yoki kompyuterda o'tirish uchun uzoq vaqt bo'lolmaydi. Hammom, sauna yoki suzish havzasiga borish taqiqlanadi. Mashqlar cheklangan bo'lishi kerak.

Bunday oddiy ko'zni parvarishlash jarrohlikdan so'ng tezda reabilitatsiyani ta'minlaydi va bir necha oy ichida barcha azob-uqubatlar orqada qoladi. Yosh ko'zlar va ochiq ko'zlar ko'p yillar davomida quvonadi.

Yuqori ko'z qovoqlarining plastiklari deyarli har doim ijobiy. Kamdan-kam holatlarda, hali ham qoniqtirmagan bemorlar bor. Ba'zilar jarrohlikdan keyingi asoratlardan shikoyat qiladilar, boshqalari esa tiklanish davrida qiyinchiliklarga duch keladilar.

Plastik jarrohlik to'g'risida qaror qabul qilishdan oldin, bunday tuzatishni amalga oshirgan bemorlarning fikrlarini o'qish foydali bo'ladi. Forumlarda turli shaharlardagi odamlar: Moskva, Minsk, Yekaterinburg, Nijniy Novgorod, Novosibirsk. Shunday qilib, siz klinikalar va jarrohlar haqida batafsil ma'lumot olishingiz mumkin. Bu operatsiya joyi tanlashda yordam beradi.

Blefaroplastikaning narxi 10 mingdan 70 ming rublgacha farq qiladi. Turli omillardan iborat: buzilishning murakkabligi, behushlikning qiymati, jarrohning malakasi, klinikada qolish va hokazo.

Yuqori ko'z qovoqlarini tuzatish usullari

Blefaroplastika usullari orasida saqlashni saqlash amaliyoti mavjud.

yuqori ko'z qovoqlari tuzatish Yuqori ko'z qovoqlarining transkonjunktival blefaroplastikasi ko'plab odamlarni o'ziga tortadi. Uning afzalliklari quyidagilardan iborat:

  • Ko'zlarida hech qanday to'siqlar yo'q;
  • yuz ifodalarini o'zgartirmaydi;
  • kesmani o'zgartiradigan yoki notekis asr yaratadigan xatolar chiqarib tashlanadi;
  • qulay reabilitatsiya davri;
  • past darajada asoratlar.

Bunday operatsiyadagi farq shundaki, manipulyatsiyani bajarish uchun kesma ko'z qovog'ining ichki tomonida amalga oshiriladi. Biroq, yuqoridagi ko'z qovog'idagi transkonjunktival blefaroplastika bajarilmaydi, chunki bunday tuzatish uchun ko'rsatilgan asosiy nuqsonlarni bartaraf etmaydi.

Yuqori ko'z qovoqlari - in'ektsiyani yoki apparatni tuzatishni ko'tarish uchun muqobil variantlar. Ushbu ko'z qopqog'i plastik usullari chuqur ajinlar bo'lmagan va kuchli teri qoplamagan hollarda ko'rsatiladi. Ular yuzning ajinlarini silliqlashda yordam beradi, burni ajinlardan chiqarib tashlaydi, ko'z qovog'ining shakliga mos keladi va terini yoshartiradi.

Yuqori ko'z qovog'ini hyaluronik kislota to'ldiruvchilari bilan tuzatishi terini namlik, ohanglar bilan oziqlantirib, elastikligini oshiradi va nozik chiziqlarni yaxshilaydi. Anti-aging ta'siri 6 oydan 1 yilgacha davom etadi. Mimik ajinlar botulinum toksin A o'z ichiga olgan preparatlar bilan in'ektsiya yo'li bilan chiqariladi.

Uskuna usuli yordamida yuqori ko'z qovoqlarini ko'tarish tana hujayralarini yangilanish jarayonlariga, terining yumshoqligi va ohanglariga javob beradigan kollagen va elastin ishlab chiqarishni rag'batlantirish yo'li bilan amalga oshiriladi. Ko'zni qopqog'iga ta'sir qilish lazer va radio to'lqin radiatsiyasi yordamida amalga oshiriladi. Jarrohlik bo'lmagan blefaroplastika qurilmalarning yordami bilan terining moslashuvchanligini oshirish, nozik ajinlar yumshatish, ko'z ostidagi qoplarni olib tashlash kerak bo'lganda ko'z qopqog'ini tuzatishning jarrohlik usuli uchun ajoyib alternativ hisoblanadi.


Sharhlar
Birinchi bo'lib izohlang
Fikr qo'shing
Fikr qo'shildi
Fikr qo'shib bo'lmadi
RE: [ Bekor qilish ]